CASE REPORT

Localized IgG4-related disease manifested on the tongue: a case report

Helya Hashemia, Andreas Thora, Erik Hellbacherb, Marie Carlsonc, Miklós Gulyásd and Lena Blomstranda

aDepartment of Surgical Sciences, Plastic & Oral and Maxillofacial Surgery, Uppsala University, Uppsala, Sweden; bDepartment of Medical Sciences, Section of Rheumatology, Uppsala University, Uppsala, Sweden; cDepartment of Medical Sciences, Gastroenterology Research Group, Uppsala University, Uppsala, Sweden; dDivision of Pathology, Department of Immunology, Genetics and Pathology, Uppsala University, Uppsala, Sweden

Abstract

Immunoglobulin G4-related disease (IgG4-RD) is an immune-mediated fibroinflammatory condition that can affect multiple organs. IgG4-RD may show a variety of initial symptoms. In the oral mucosa, lesions present as inflammatory fibrosis with a large number of IgG4-positive plasma cells. Evaluating treatment is a well-known problem in IgG4-RD due to the absence of an established assessment system. There are difficulties in defining the severity of the disease, which is why treatment is primarily based on its clinical manifestations.

We present a case report of localized IgG4-RD with ulcerative and proliferative manifestations on the tongue, which clinically mimicked oral squamous cell carcinoma. A tumor-like lesion on the tongue can indicate something else other than the malignant or reactive changes commonly found in the oral mucosa. Multiple differential diagnoses of these atypical oral lesions, including localized IgG4-RD, should be considered.

KEYWORDS
IgG4-related disease; localized; oral lesion; tongue; differential diagnosis; histopathology; monoclonal antibody; Rituximab

 

Citation: UPSALA JOURNAL OF MEDICAL SCIENCES 2021, 126, e6118
http://dx.doi.org/10.48101/ujms.v126.6118

Copyright: © 2021 The Author(s). Published by Upsala Medical Society.
This is an Open Access article distributed under the terms of the Creative Commons Attribution License (http://creativecommons.org/licenses/by/4.0/), which permits unrestricted use, distribution, and reproduction in any medium, provided the original work is properly cited.

Received: 26 November 2020; Revised: 23 March 2021; Accepted: 29 March 2021 Published: 12 May 2021

Competing interests and funding: The authors report no conflicts of interest. Dr. Marie Carlson has received honoraria from Janssen, Pfizer, Takeda, and Vifor Pharma. For the remaining authors, none were declared.
The authors have not received any funding or benefits from industry or elsewhere to conduct this study.

CONTACT Helya Hashemi, helya.s.hashemi@gmail.com

Introduction

Immunoglobulin G4-related disease (IgG4-RD) is an immune-mediated fibroinflammatory condition affecting multiple organs, which may be difficult to distinguish from other malignant, infectious, and inflammatory diseases. IgG4-RD is characterized by organ enlargement, elevation of serum IgG4 levels, tissue infiltration with IgG4-positive plasma cells and various degrees of fibrosis (14). Manifestations have been observed in multiple organ systems, such as the pancreas (5), bile duct (6), retroperitoneum (7), lungs (8), and kidneys (9). In the head and neck region, the common sites of involvement are the major salivary glands, the thyroid, and orbit (1018).

In this report, we present a case report of localized IgG4-RD with ulcerative and proliferative manifestations on the tongue, which clinically mimicked oral squamous cell carcinoma. After excluding multiple diagnoses, we considered localized IgG4-RD to be the likely diagnosis. We present the protracted clinical manifestations lasting for 5 years, diagnostic work-up, pathology, and management of this case.

Case report

In December 2014, a 71-year-old woman was referred to the Department of Plastic and Oral and Maxillofacial surgery at Uppsala University from the Ear, Nose, and Throat Department (ENT). The reason stated for referral was a painful ulcer on the right side of the tongue, which had manifested 6 months earlier. The ulcer had a fibrinous base and was firm, but not indurated (Figure 1). There were no lymphadenopathies nor a history of fever. The patient was a non-user of tobacco but consumed moderate amounts of alcohol. She had a history of type 2 diabetes, hypertension, asthma, and osteoporosis. Intake of medications included Montelukast, Budesonide, Salbutamol, Prednisolone, Acetylcysteine, Omeprazole, Colestipol, Loperamide, Felodipine, Furosemide, Losartan, Zopiclone, and Alendronic acid. An incisional biopsy with histopathological examination (HPE) was conducted from the lateral border of the tongue. It displayed an inflamed tongue mucosa, with the epithelium being hyperplastic and hyperkeratinized. Blood tests showed C-reactive protein levels of 11 mg/L (< 5 mg/L) and a white blood cell count of 10.8 (3.5–9–109 cells/L). There were no signs of dysplasia, and malignancy could be ruled out. She received treatment with Clobetasol and Chlortetracycline with no improvement of the symptoms.

Fig 1
Figure 1. First visit in December 2014 showing a firm ulcer with a fibrinous base.

In January 2015, the lesion had increased in size, and an excisional biopsy was performed. The initial diagnostic hypothesis was a drug-induced side effect initiated by the Alendronate treatment (19, 20) for osteoporosis, which caused an eosinophilic ulcer (21, 22). A computed tomography (CT) scan did not show any lesions of the mandible or signs indicative of bisphosphonate-related osteonecrosis of the jaw. An HPE of the tongue showed an ulcer affected with oral candidiasis. The patient was treated with antimycotics. Alendronate therapy was ceased and replaced with Prolia (Denosumab).

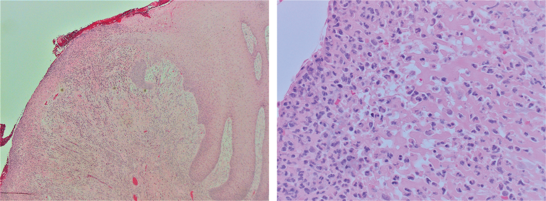
In June 2015, the patient reported increased pain from the enlarged ulcer without improvement of symptoms. A new excision was performed (Figure 2a), where HPE did not show any signs of dysplasia, but revealed an ulceration with fibrinous crusta, inflammation, and extensive infiltrates of neutrophil granulocytes (Figure 2b and c). At a revisit in September 2015, there was an ulcer with fungal infection. Fluconazole was administered, and the patient was called in for re-examination in December 2015. At that point, the lesion had developed an exophytic appearance on the lateral side of the tongue (Figure 3). In February 2016, treatment with radiofrequency ablation of the tongue was carried out (Figure 4). HPE displayed moderately to severely inflamed mucosa, with fibrosis and an ulcer consisting of eosinophil-rich infiltrates with candida infection. There were still no signs of malignancy or dysplasia. Antimycotics were administered.

Fig 2
Figure 2. (a) In June 2015 an increase in size of the ulcer was seen and an excision was performed. (b) & (c) Micrographs showing ulceration with fibrinous crusta and infiltrate of neutrophil granulocytes. Hematoxyline and eosin staining at × 40 (2b) and × 400 (2c).

Fig 3
Figure 3. In December 2015 the lesion had an exophytic appearance. A dental mouthguard can be seen covering the teeth of the lower jaw to protect the mucosa of the tongue.

Fig 4
Figure 4. Treatment with radiofrequency ablation of the tongue performed in February 2016.

At the follow-up in April 2016, there was a recurrent exophytic growth from the lesion (Figure 5). Simultaneously, a gastroenterologist examined the patient further regarding her diffuse form of colitis and eosinophil involvement in the intestine, suspecting eosinophilic colitis. The patient also showed elevated levels of serum eosinophil cationic protein 24 µg/L (2.3–16 µg/L) during the examination, and the possible diagnosis of hyper eosinophilic syndrome (23) was contemplated. For this reason, the patient underwent detection for molecular abnormality of dysregulated tyrosine kinase activity. Fluorescence in situ hybridization was used to detect the presence of FIP1L1-PDGFRA in bone marrow cells in order to further determine the treatment approach (24, 25).

Fig 5
Figure 5. Follow-up in April 2016: a reoccurring exophytic growth of the lesion could be observed.

Daily treatment with 10 mg × 3 Prednisolone was initiated. The patient reported noticeable improvement regarding pain-related symptoms both from the oral cavity and from the stomach. However, there was no regress of the lesion. A possible differential diagnosis of Pyostomatitis vegetans (PV) associated with inflammatory bowel disease was considered. As the patient had not displayed any characteristic pustules or a confirmed diagnosis of ulcerative colitis or Crohn’s disease, and had not shown any improvement when treated with Prednisolone, PV was excluded as a possible diagnosis.

During the period 2016 and 2017, due to several recurring exophytic growths of the lesion, the patient underwent multiple excisions (Figures 6 and 7). We concluded that surgical treatment was unsuitable for this specific lesion. An HPE consistently displayed mild-to-severe inflammation, without signs of dysplasia. To exclude malignancy, detection of Epstein–Barr virus was carried out. The results were negative (26).

Fig 6
Figures 6 & 7. During 2016 and 2017, due to several recurring exophytic growths of the lesion, the patient underwent multiple excisions.

In February 2018, our patient was investigated at the Department of Rheumatology. Churg–Strauss syndrome (CSS), now better known as eosinophilic granulomatosis with polyangiitis (EGPA), was discussed as a possible differential diagnosis. EGPA is a form of vasculitis, affecting small- and medium-sized arteries. It causes granulomatous, eosinophilic inflammations, mostly found in patients with severe asthma (27). Overall, the clinical picture, signs, and symptoms were not considered typical for EGPA. It was at this point that the suspicion of IgG4-RD was raised.

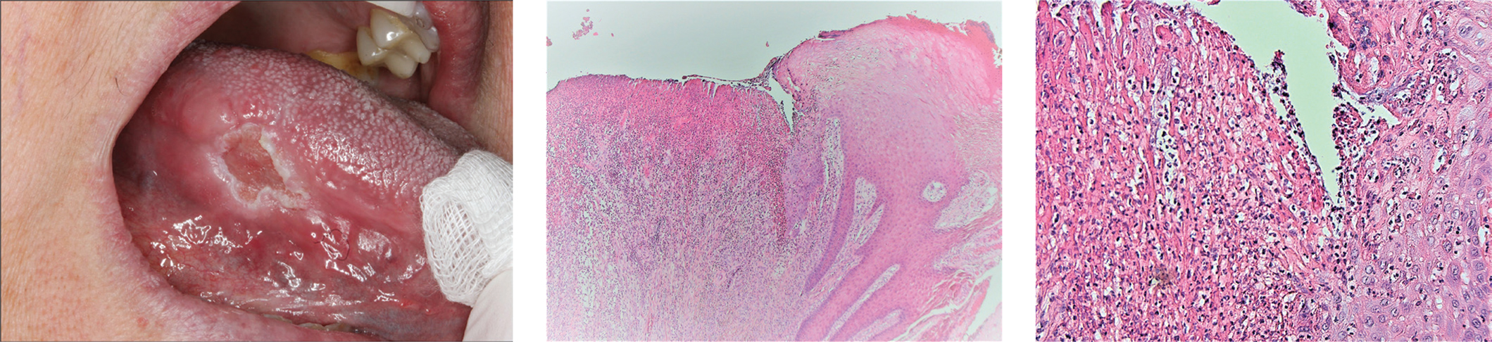
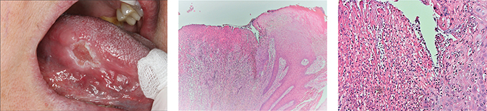
Furthermore, in February 2018, another excision biopsy was retrieved from the lesion on the tongue, with an inquiry regarding IgG4-positive plasma cell levels. Histopathological analysis revealed that the tumor-like lesion on the tongue was caused by a candidiasis-associated ulceration. The ulceration formed an extruding polyploid lesion with granulation tissue rich in neutrophil granulocytes and lymphoplasmacytic cells (Figure 8a and b). The presence of plasma cells was demonstrated by CD138 and CD38 immunostainings. Eosinophils could be seen; however, there were no signs of granuloma or vasculitis. IgG-positive plasma cells were observed a few millimeters from the ulceration, further strengthening the suspicion of IgG4-RD (28, 29).

Fig 7
Figure 8. (a) & (b) Micrographs showing ulceration with extruding granulation tissue on the left, and normal epithelial surface with slight lymphoplasmacytic infiltrate underneath on the right. Hematoxyline and Eosin staining at x 40 (8a) and x 400 (8b).

An IgG-immunostaining was performed, a method that can be unreliable and difficult to interpret due to high-background staining (Figure 9a). As a result, accurate IgG4/IgG ratios are sometimes difficult to obtain (30, 31). In our case, the IgG-immunostaining was performed on the two larger biopsies. In both samples, ≥ 71% of the IgG-positive plasma cells expressed IgG4 (Figure 9b), that is, an IgG4+/IgG+ ratio of ≥ 71%, with IgG4+ plasma cells/high-power field (HPF) being 10–50. While a significant percentage of the plasma cells expressed IgG4, the patient did not have elevated levels of IgG4 in the serum. However, this parameter is not precise enough and lacks a predictive value for diagnosis (31, 32).

Fig 8
Figure 9. (a) & (b) Immunostainings for IgG (9a) and IgG4 (9b) in area under retained epithelium, both at x 400. Majority of IgG-positive plasma cells shows positive staining for IgG4.

Medical databases and literature revealed only one description of IgG4-RD involving the tongue (33). Therefore, two hypotheses were discussed: one being a possible fibro-inflammatory disease called IgG4-RD, with an unknown etiology (34), and the other one being Circumoroficial plasmacytosis (35). We believed the latter hypothesis to be less likely because of the presence of a large number of IgG4-positive plasma cells.

A more conclusive diagnosis of IgG4-RD would have validated treatment with Rituximab, a monoclonal antibody that targets CD20 presented by B cells (36). With the suspicion of IgG4-RD, treatment was initiated with 20 mg/week of Methotrexate together with a low dose of Prednisolone for 3 months, followed by evaluation. The patient’s symptoms improved but the condition remained.

In August 2018, 6 months after the latest excision biopsy of the lesion, the patient underwent fluoro-deoxy-glucose positron emission tomography with computerized tomography (FDG PET/CT) for evaluation and diagnosis of IgG4-RD. This method enabled an individually tailored treatment and provided a better understanding of the disease (37). FDG PET/CT showed involvement of multiple groups of lymph nodes in the mediastinum and neck. There was also an increased uptake on the right side of the mouth, directly corresponding to the right side of the tongue and cheek (Figure 10). A neck lymph node biopsy demonstrated elevated levels of IgG4-positive plasma cells, displaying an IgG4+ plasma cells/HPF of 10–50 and an IgG4+/IgG+ ratio of ≥71%. This further strengthened our suspicions of IgG4-RD.

Fig 9
Figure 10. FDG PET/CT showing an increased uptake on the right side of the mouth corresponding to the right side of the tongue and cheek.

In September 2018, a follow-up showed a progressive exophytic growth on the tongue. New, firm, soft tissue changes in the mucous membrane on the right side of the buccal cheek, much like the previous changes seen on the tongue, were observed (Figure 11). This new growth was also noticeable on FDG PET/CT in August, a month before. The patient experienced pain mainly on the tongue, and thus, treatment with Rituximab was initiated.

Fig 10
Figure 11. In September of 2018, a new, firm lesion of the right buccal mucosa could be observed.

Approximately 1 year later, in 2019, the patient reported that she was completely pain-free. The lesions remained but were significantly less firm in consistency. Neither color change nor progression of the lesions were observed (Figure 12).

Fig 11
Figure 12. In 2019, the lesion of the tongue remains, however is painless, less firm and without colour change or obvious progression. The lesion of the right buccal mucosa remains unchanged.

Discussion

In 2019, the American College of Rheumatology (ACR) and the European League Against Rheumatism (EULAR) developed new international classification criteria for IgG4-RD. The entry criteria require involvement of IgG4-RD in at least one organ. The exclusion criteria consist of 32 items, all of which must be unfulfilled to reach IgG4-RD classification. Finally, eight weighted inclusion criteria domains are applied, creating a point system that must meet a specific threshold (31). In the head and neck region, there are a few diseases classified as IgG4-RD or manifestations thereof.

Mikulicz’s disease (MD) was first reported in 1888. It is characterized by painless, symmetrical, bilateral, enlarged salivary and lacrimal glands with lymphocytic infiltration. The histological findings of the disease were identical to Sjogren’s syndrome (SS), and MD was, therefore, considered to be a subtype of SS. However, the clinical picture and the histopathology of the two diseases vary, and in MD, one can find elevated levels of serum IgG4, as well as IgG4-positive cell infiltration. Hence, the disease was suggested to represent an systemic IgG4-RD (11, 14, 18).

Küttners tumor (KT), a disorder in the salivary glands associated with IgG4-RD, is an inflammatory disease previously known as chronic sclerosing sialadenitis. It was first described in 1896, and it primarily affects the submandibular glands. Histologically, KT shows fibrosclerotic lesions containing IgG4-positive plasma cells. The histopathological and serological findings in KT are similar to those of MD (38, 39).

There are reports of mucosal manifestations of IgG4-RD in the head and neck region as well. Most of these lesions have occurred on the mucosa of the gingiva, the alveolar mucosa, hard palate, and floor of the mouth. Manifestations on the laryngeal mucosa, nasal and paranasal sinus involvements have also been described (29). These lesions present as inflammatory fibrosis with high amounts of IgG4-positive plasma cells. One of the studies suggested that plasma cell mucositis is not related to IgG4-RD, but IgG4-positive plasma cells are often seen in chronic oral inflammatory conditions (28). As of now, only one case of IgG4-related sclerosing disease involving the tongue has been reported in 2013 (33).

We report a case of localized IgG4-RD manifesting as a progressive tumoral lesion on the lateral border of the tongue. Before reaching the final diagnosis of IgG4-RD and administering adequate treatment, many possible diagnoses were investigated and correspondingly treated without success. Throughout treatment, the mucosal lesion changed in character from a small ulcer to a painful, exophytic tumor-like lesion. With this case, we show that a tumor-like lesion on the tongue can suggest something else other than the malignant or reactive changes commonly found in the oral mucosa. Our case emphasizes the importance of working in a multidisciplinary manner in the absence of expected treatment results. Multiple differential diagnoses of these atypical oral lesions, including localized IgG4-RD, should be considered. More importantly, our case underlines the importance of being attentive when symptoms do not match histopathological findings, and why one should never exclude possible connections to the patient’s underlying conditions.

Evaluating treatment in IgG4-RD is a well-known problem due to the absence of an established assessment system. Difficulties remain in outlining the severity of the disease. Treatment is, therefore, based mostly on the clinical manifestations and not on the severity of the disease. Retrospectively, treatment with Rituximab was identified as successful due to the lack of progression in size and relief of pain from the lesion. Further studies are needed to determine the pathophysiology and epidemiology to efficiently diagnose and treat cases of localized or general IgG4-RD.

Based on the ACR/EURLAR classification criteria for IgG4-RD, our patient met the entry criteria. No exclusion criteria were detected. A threshold of 20 points is needed for a patient to be classified as having IgG4-RD. As obliterative phlebitis and storiform fibrosis were not observed in the excision biopsy of the tongue, 18 of a possible 29 points were obtained from the histopathology criteria.

Furthermore, for the classification criteria for IgG4-RD, no additional points could be obtained for our patient to achieve the threshold of 20 out of a possible 96 points. However, based on the histopathological findings, ruling out other possible diagnoses and the fact that Rituximab was the only successful treatment leading to improvement of the patient’s symptoms, it was concluded that a localized form of IgG4-RD of the tongue was the most likely diagnosis.

Acknowledgements

The authors thank colleagues from the ENT department at Uppsala University and colleagues from the Dermatology and Medicine department at the University of Utah for their input and engagement in the case report.

Declaration of patient consent

‘The authors can certify that they have obtained all appropriate patient consent forms. In the form the patient(s) has/have given his/her/their consent for his/her/their images and other clinical information to be reported in the journal. The patients understand that their names and initials will not be published, and due efforts will be made to conceal their identity, but anonymity cannot be guaranteed’.

Notes on contributors

Helya Hashemi, DDS, Senior house officer (SHO) in Oral and Maxillofacial Surgery at Department of Plastic & Oral and Maxillofacial Surgery, Uppsala University Hospital, 751 85 Uppsala, Sweden.

Andreas Thor, DDS, PhD, Professor at Department of Surgical Sciences, Plastic & Oral and Maxillofacial Surgery, Uppsala University, Uppsala, Sweden.

Erik Hellbacher, MD, Specialist Physician at Department of Medical Sciences, Section of Rheumatology, Uppsala University, Uppsala, Sweden.

Marie Carlson, MD, PhD, Adjunct Professor at Department of Medical Sciences, Gastroenterology Research Group, Uppsala University, Uppsala, Sweden.

Miklós Gulyás, MD, PhD, Associate Professor at Division of Pathology, Department of Immunology, Genetics and Pathology, Uppsala University, Uppsala, Sweden.

Lena Blomstrand, DDS, Specialist Dentist in Orofacial Medicine at Department of Surgical Sciences, Plastic & Oral and Maxillofacial Surgery, Uppsala University, Uppsala, Sweden.

ORCID

Helya Hashemi symbol https://orcid.org/0000-0001-5887-5369

Andreas Thor symbol http://orcid.org/0000-0001-9590-2039

Erik Hellbacher symbol https://orcid.org/0000-0002-8151-3988

Marie Carlson symbol http://orcid.org/0000-0002-2402-9305

Miklós Gulyás symbol http://orcid.org/0000-0003-4988-6933

Lena Blomstrand symbol http://orcid.org/0000-0003-1773-0408

References

  1. Neild GH, Rodriguez-Justo M, Wall C, Connolly JO. Hyper-IgG4 disease: report and characterisation of a new disease. BMC Med 2006; 4: 23. doi: 10.1186/1741-7015-4-23
  2. Divatia M, Kim SA, Ro JY. IgG4-related sclerosing disease, an emerging entity: a review of a multi-system disease. Yonsei Med J 2012; 53: 15–34. doi: 10.3349/ymj.2012.53.1.15
  3. Stone JH, Zen Y, Deshpande V. IgG4-related disease. New England J Med 2012; 366: 539–51. doi: 10.1056/NEJMra1104650
  4. Kamisawa T, Zen Y, Pillai S, Stone JH. IgG4-related disease. Lancet 2015; 385: 1460–71. doi: 10.1016/S0140-6736(14)60720-0
  5. Chen Y, Zhao J-Z, Feng R-E, Shi J-H, Li X-M, Fei Y-Y, et al. Types of organ involvement in patients with immunoglobulin G4-related disease. Chin Med J (Engl) 2016; 129: 1525–32. doi: 10.4103/0366-6999.184459
  6. Vashi B, Khosroshahi A. IgG4-related disease with emphasis on its gastrointestinal manifestation. Gastroenterol Clin N Am 2019; 48: 291–305. doi: 10.1016/j.gtc.2019.02.008
  7. Lian L, Wang C, Tian J-L. IgG4-related retroperitoneal fibrosis: a newly characterized disease. Int J Rheum Dis 2016; 19: 1049–55. doi: 10.1111/1756-185X.12863
  8. Zen Y, Kitagawa S, Minato H, Kurumaya H, Katayanagi K, Masuda S, et al. IgG4-positive plasma cells in inflammatory pseudotumor (plasma cell granuloma) of the lung. Human Pathol 2005; 36: 710–17. doi: 10.1016/j.humpath.2005.05.011
  9. Takeda S-I, Haratake J, Kasai T, Takaeda C, Takazakura E. IgG4-associated idiopathic tubulointerstitial nephritis complicating autoimmune pancreatitis. Nephrol Dial Transplant 2004; 19: 474–6. doi: 10.1093/ndt/gfg477
  10. Puxeddu I, Capecchi R, Carta F, Tavoni AG, Migliorini P, Puxeddu R. Salivary gland pathology in IgG4-related disease: a comprehensive review. J Immunol Res 2018; 2018: 6936727. doi: 10.1155/2018/6936727
  11. Himi T, Takano K, Yamamoto M, Naishiro Y, Takahashi H. A novel concept of Mikulicz’s disease as IgG4-related disease. Auris Nasus Larynx 2012; 39: 9–17. doi: 10.1016/j.anl.2011.01.023
  12. Yamamoto M, Ohara M, Suzuki C, Naishiro Y, Yamamoto H, Takahashi H, et al. Elevated IgG4 concentrations in serum of patients with Mikulicz’s disease. Scandinavian J Rheumatol 2004; 33: 432–3. doi: 10.1080/03009740410006439
  13. Takahashi H, Yamamoto M, Suzuki C, Naishiro Y, Shinomura Y, Imai K. The birthday of a new syndrome: IgG4-related diseases constitute a clinical entity. Autoimmun Rev 2010; 9: 591–4. doi: 10.1016/j.autrev.2010.05.003
  14. Takano K, Yamamoto M, Takahashi H, Himi T. Recent advances in knowledge regarding the head and neck manifestations of IgG4-related disease. Auris Nasus Larynx 2017; 44: 7–17. doi: 10.1016/j.anl.2016.10.011
  15. Bhatti RM, Stelow EB. IgG4-related disease of the head and neck. Adv Anatomic Pathol 2013; 20: 10–16. doi: 10.1097/PAP.0b013e31827b619e
  16. Andrew N, Kearney D, Selva D. IgG4-related orbital disease: a meta-analysis and review. Acta Ophthalmol 2013; 91: 694–700. doi: 10.1111/j.1755-3768.2012.02526.x
  17. Yamamoto M, Takahashi H. IgG4-related disease in organs other than the hepatobiliary-pancreatic system. Semin Liver Dis 2016; 36: 274–82. doi: 10.1055/s-0036-1584317
  18. Umehara H, Okazaki K, Masaki Y, Kawano M, Yamamoto M, Saeki T, et al. A novel clinical entity, IgG4-related disease (IgG4RD): general concept and details. Mod Rheumatol 2012; 22: 1–14. doi: 10.3109/s10165-011-0508-6
  19. Gonzalez-Moles MA, Bagan-Sebastian JV. Alendronate-related oral mucosa ulcerations. J Oral Pathol Med 2000; 29: 514–18. doi: 10.1034/j.1600-0714.2000.291006.x
  20. Kharazmi M, Sjöqvist K, Rizk M, Warfvinge G. Oral ulcer associated with alendronate: a case report. Oral Surg Oral Med Oral Pathol Oral Radiol Endodontol 2010; 110: e11–13. doi: 10.1016/j.tripleo.2010.04.035
  21. Bortoluzzi MC, Passador-Santos F, Capella DL, Manfro G, Nodari RJ, Presta AA. Eosinophilic ulcer of oral mucosa: a case report. Ann Stomatol 2012; 3: 11–13.
  22. Didona D, Paolino G, Donati M, Didona B, Calvieri S. Eosinophilic ulcer of the tongue – case report. An Bras Dermatol 2015; 90: 88–90. doi: 10.1590/abd1806-4841.20153600
  23. Khoury P, Makiya M, Klion AD. Clinical and biological markers in hypereosinophilic syndromes. Front Med 2017; 4: 240. doi: 10.3389/fmed.2017.00240
  24. Shomali W, Gotlib J. World Health Organization-defined eosinophilic disorders: 2019 update on diagnosis, risk stratification, and management. Am J Hematol 2019; 94: 1149–67. doi: 10.1002/ajh.25617
  25. Pardanani A, Brockman SR, Paternoster SF, Flynn HC, Ketterling RP, Lasho TL, et al. FIP1L1-PDGFRA fusion: prevalence and clinicopathologic correlates in 89 consecutive patients with moderate to severe eosinophilia. Blood 2004; 104: 3038–45. doi: 10.1182/blood-2004-03-0787
  26. She Y, Nong X, Zhang M, Wang M. Epstein-Barr virus infection and oral squamous cell carcinoma risk: a meta-analysis. PLoS One 2017; 12: e0186860. doi: 10.1371/journal.pone.0186860
  27. Mouthon L, Dunogue B, Guillevin L. Diagnosis and classification of eosinophilic granulomatosis with polyangiitis (formerly named Churg-Strauss syndrome). J Autoimmun 2014; 48–49: 99–103.
  28. Cottom H, Mighell AJ, High A, Bateman AC. Are plasma cell-rich inflammatory conditions of the oral mucosa manifestations of IgG4-related disease? J Clin Pathol 2015; 68: 802–7.
  29. Laco J, Kamarádová K, Mottl R, Mottlová A, Doležalová H, Tuček L, et al. Plasma cell granuloma of the oral cavity: a mucosal manifestation of immunoglobulin G4-related disease or a mimic? Virchows Archiv 2015; 466: 255–63. doi: 10.1007/s00428-014-1711-6
  30. Deshpande V, Zen Y, Chan JK, Yi EE, Sato Y, Yoshino T, et al. Consensus statement on the pathology of IgG4-related disease. Mod Pathol. 2012;25:1181–92.
  31. Wallace ZS, Naden RP, Chari S, Choi HK, Della-Torre E, Dicaire J-F, et al. The 2019 American College of Rheumatology/European League against rheumatism classification criteria for IgG4-related disease. Ann Rheum Dis 2020; 79: 77–87. doi: 10.1136/annrheumdis-2019-216561
  32. Carruthers MN, Khosroshahi A, Augustin T, Deshpande V, Stone JH. The diagnostic utility of serum IgG4 concentrations in IgG4-related disease. Ann Rheum Dis 2015; 74: 14–18. doi: 10.1136/annrheumdis-2013-204907
  33. Khurram SA, Fernando M, Smith AT, Hunter KD. IgG4-related sclerosing disease clinically mimicking oral squamous cell carcinoma. Oral Surg Oral Med Oral Pathol Oral Radiol 2013; 115: e48–51. doi: 10.1016/j.oooo.2012.04.011
  34. Kubo K, Yamamoto K. IgG4-related disease. Int J Rheumatic Dis 2016; 19: 747–62. doi: 10.1111/1756-185X.12586
  35. Galvin S, Bowe C, O Regan EM, Conlon N, Flint SR, Healy CM. Circumorificial plasmacytosis/plasma cell orificial mucositis: a case series and a review of the literature. Oral Surg Oral Med Oral Pathol Oral Radiol 2016; 122: e77–81. doi: 10.1016/j.oooo.2016.05.014
  36. Khosroshahi A, Carruthers MN, Deshpande V, Unizony S, Bloch DB, Stone JH. Rituximab for the treatment of IgG4-related disease: lessons from 10 consecutive patients. Medicine 2012; 91: 57–66. doi: 10.1097/MD.0b013e3182431ef6
  37. Zhang J, Chen H, Ma Y, Xiao Y, Niu N, Lin W, et al. Characterizing IgG4-related disease with ¹⁸F-FDG PET/CT: a prospective cohort study. Eur J Nucl Med Mol Imaging 2014; 41: 1624–34. doi: 10.1007/s00259-014-2729-3
  38. Takano K-I, Yamamoto M, Takahashi H, Shinomura Y, Imai K, Himi T. Clinicopathologic similarities between Mikulicz disease and Küttner tumor. Am J Otolaryngol 2010; 31: 429–34. doi: 10.1016/j.amjoto.2009.08.002
  39. Putra J, Ornstein DL. Küttner Tumor: IgG4-related disease of the submandibular gland. Head Neck Pathol 2016; 10: 530–2. doi: 10.1007/s12105-016-0729-2